胸腔镜下手术治疗纵膈肿瘤、为患者带来福音
2021-09-06 17:33外四科
我院外四科是集普外科、胸外科、泌尿外科、小儿外科等专业的医疗、教学、科研为一体的综合外科专业科室,拥有一支高水平的医疗服务队伍,近年来,在陈刚教授的带领下,完成了数例高难度骑跨颈胸部和胸腹部肿瘤的手术,运用以外科为主的手段挽救了多名试管婴儿和未成熟儿的生命,带领医院外科系统快速健康发展,该领域处于省内领先地位。
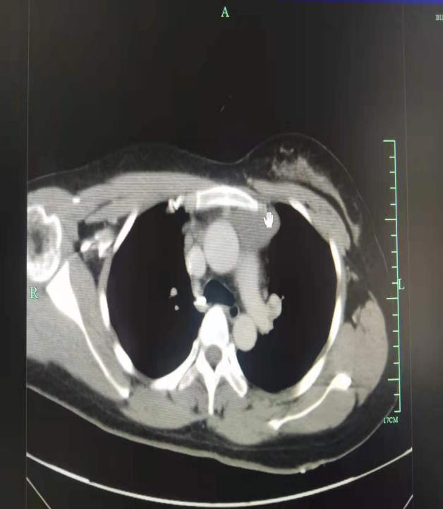
患者张某某,中年女性,1月前患者无意中发现右前颈部有一肿块,无明显疼痛,偶有潮热、盗汗及乏力情况,先后求诊于毕节市多家医院未果。该患者收治于我院外四科,根据患者相关检查,初步判断为纵膈肿瘤,此疾病随着时间延长,肿瘤逐渐增大,将会压迫神经、呼吸系统、食管以及大血管,对身体危害性极大。为此,我院陈刚教授、张月贵医师决定对患者开展我市首例经胸腔镜单操作孔前上纵膈肿瘤微创切除,以切除病灶,同时明确肿瘤性质,手术于8月26日顺利完成,术后效果良好。
我院外四科按照健康中国战略总体要求,长期与省内外知名专家保持亲密联系,以远程会诊、邀请院外专家到院开展医疗帮扶等方式,切实解决了当地人民群众“看病难、就医难”等“急难愁盼”问题,同时推动我院乃至整个地区医疗服务能力高质量发展,成效显著。



